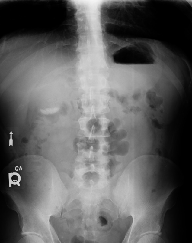
1. What are the primary findings?
Main finding is an opaque density in the right upper quadrant. No evidence of bowel obstruction.
2. Name the classic radiographic sign. What is its significance?
The appearance represents a classic milk of calcium sign. The sign represents gravity dependent layering or sedminentation of calcium deposits in suspension located within a cyst or hollow structure. Based on this location this represents milk of calcium bile. Other locations include, for example, renal cysts and breast cysts. Retained contrast from another abdominal study should be excluded before making the diagnosis.
Milk of calcium bile contains gallstones within a milky fluid containing mostly calcium carbonate. This may be secondary to long term cystic duct obstruction. Symptomatically the patient may be asymptomatic or may show signs of chronic cholecystitis. Because this usually results from chronic duct obstruction or cholecystitis, the treatment is often cholecystectomy. Untreated, the obstruction may progress and lead to the development of pancreatitis, acute episodes of cholecystitis or biliary colic, or possibly obstructive jaundice.
Main finding is an opaque density in the right upper quadrant. No evidence of bowel obstruction.
2. Name the classic radiographic sign. What is its significance?
The appearance represents a classic milk of calcium sign. The sign represents gravity dependent layering or sedminentation of calcium deposits in suspension located within a cyst or hollow structure. Based on this location this represents milk of calcium bile. Other locations include, for example, renal cysts and breast cysts. Retained contrast from another abdominal study should be excluded before making the diagnosis.
Milk of calcium bile contains gallstones within a milky fluid containing mostly calcium carbonate. This may be secondary to long term cystic duct obstruction. Symptomatically the patient may be asymptomatic or may show signs of chronic cholecystitis. Because this usually results from chronic duct obstruction or cholecystitis, the treatment is often cholecystectomy. Untreated, the obstruction may progress and lead to the development of pancreatitis, acute episodes of cholecystitis or biliary colic, or possibly obstructive jaundice.