1. What is the key finding.
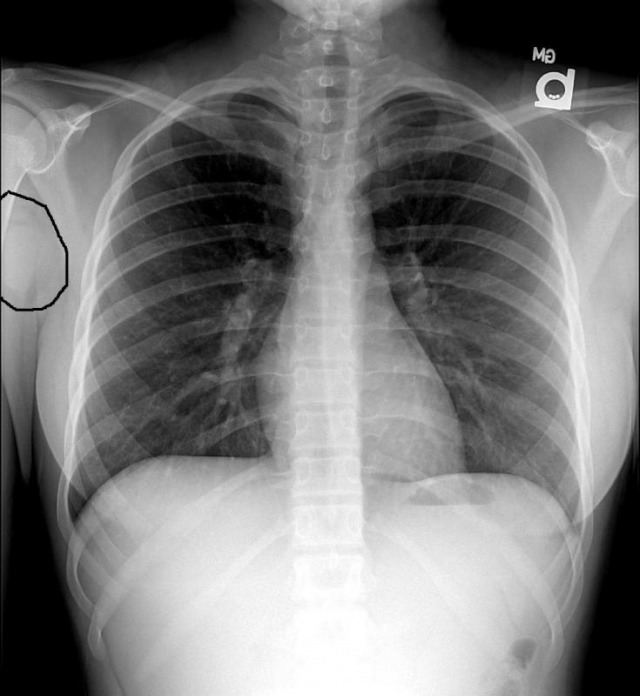
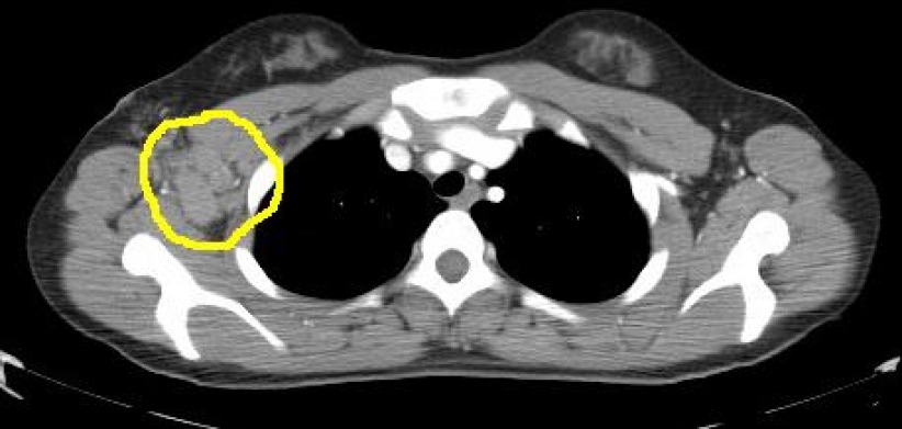
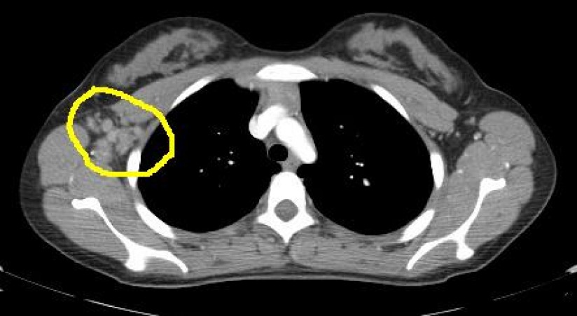
The key finding is, as encircled in this image, a rounded opacity in the right axilla. Here are select CT images demonstrating the presence of several opacities in the right axillary region. The opacities represent lymphadenopathy. Compare with the left axilla where there is no evidence of enlarged lymph nodes.
The key finding is, as encircled in this image, a rounded opacity in the right axilla. Here are select CT images demonstrating the presence of several opacities in the right axillary region. The opacities represent lymphadenopathy. Compare with the left axilla where there is no evidence of enlarged lymph nodes.
Diagnosis: Hodgkin's lymphoma (biopsy confirmed). The patient has stage I disease, in other words the disease was limited to a single lymph node group in the right axilla. No additional disease was found in the head, neck, chest, abdomen, or pelvis on CT examination. Clinical examination failed to demonstrate lymphadenopathy in other sites in the appendicular skeleton.
DISCUSSION
Hodgkin's lymphoma is disease that spreads along the lymphatic chain and presents with enlarged lymph nodes. Hematogenous spread or direct invasion to the liver, spleen, lungs, and less commonly bone can occur. Disease can occur at any age, with greater prevalence occurring between 15-35 yrs of age and 55+. Patients with immunosuppressive disease such as HIV/AIDS or Epstein-Barr virus (EBV) face an increased risk of developing the disease, however Hodgkin's disease is not contagious. Common symptoms include chest pain, fever, unexplained weight loss, night sweats, weakness/fatigue, and occasionally may have painful lymph nodes after drinking alcohol.
Treatment is dependent on the staging of the individual disease and may include chemotherapy, radiation or a combination of the two. Staging is based on clinical physical presentation and proper, thorough staging of the disease which may include an or all of CT, MRI, PET, or marrow biopsy. Stem cell transplants are another form of treatment. Survival rates for Hodgkin's are generally high however patient's face an increased risk for developing other cancers later in life, such as leukemia, therefore patient's require long term follow up.


