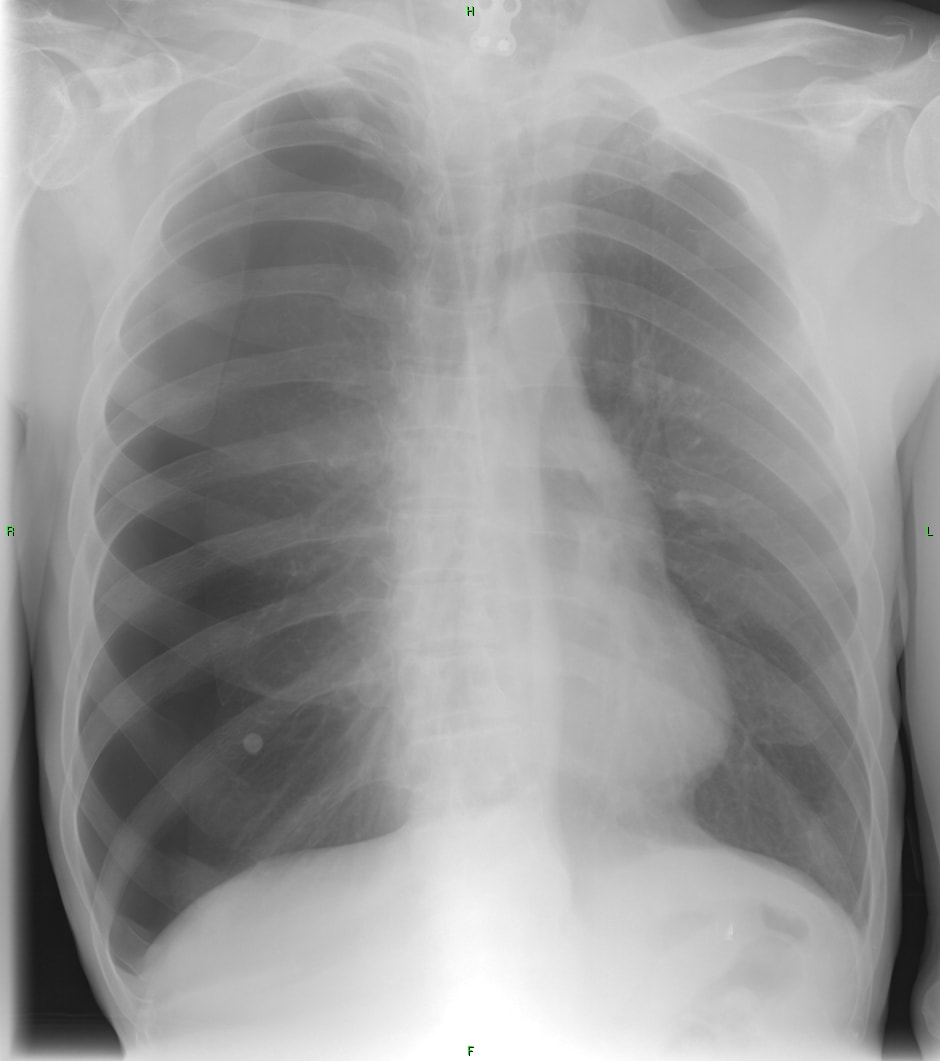
1. Describe the main finding.
Key finding is the presence of a mass overlapping the cardiac shadow. A key finding which can help direct you to the diagnosis is the presence of an air-fluid level in the opacity.
2. Do you have a diagnosis or a differential diagnosis?
Differentials for an opacity overlying the cardiac shadow include aortic aneurysm, neoplasm, abscess, dilated esophagus, and hiatal hernia. If you caught the air-fluid level this helps narrow your differential diagnosis list. (see below for answer)
3. What additional view would you like to see to help narrow your differential list or to make the diagnosis?
A lateral view can help confirm your diagnosis or narrow your differential. In some cases where the lateral view does not provide additional information then a barium swallow or CT may be needed to confirm the diagnosis.
Key finding is the presence of a mass overlapping the cardiac shadow. A key finding which can help direct you to the diagnosis is the presence of an air-fluid level in the opacity.
2. Do you have a diagnosis or a differential diagnosis?
Differentials for an opacity overlying the cardiac shadow include aortic aneurysm, neoplasm, abscess, dilated esophagus, and hiatal hernia. If you caught the air-fluid level this helps narrow your differential diagnosis list. (see below for answer)
3. What additional view would you like to see to help narrow your differential list or to make the diagnosis?
A lateral view can help confirm your diagnosis or narrow your differential. In some cases where the lateral view does not provide additional information then a barium swallow or CT may be needed to confirm the diagnosis.
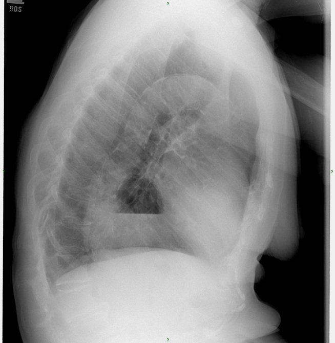
The lateral view confirms the presence of a retrocardiac mass with an air-fluid level. There is also aortic uncoiling with atherosclerotic calcification of the arch and descending aorta.
Diagnosis: Hiatal hernia.
This case is a classic example of the hiatal hernia seen on chest x-ray. A hiatal hernia is a herniation of the stomach through the esophageal hiatus of the diaphragm, usually involving the fundus of the stomach. There are 2 main types of hiatus hernia which are differentiated on the location of the gastroesophageal junction :
a. sliding - most common type, junction displaced upwards into mediastinum (ie behind the heart shadow), often small and reducible
b. paraesophageal/rolling - least common, junction lies normally below the diaphragm, may not reduce
A hiatal hernia may be clinically silent and only discovered incidentally. When symptomatic the signs are usually nonspecific such as dull chest pain, shortness of breath, in some cases heart palpitations, nausea, or signs of acid reflux such as heartburn and belching.
Hiatal hernias are more common with increasing age and in smokers and obese individuals. Potential causes include weakness in the diaphragm, either congenital or trauma related, or persistent intense stress on the adjacent musculature such as produced by severe cough, vomiting, lifting heavy objects, or excessive straining with bowel movements.
Dietary changes (avoiding foods that cause heartburn, avoid alcohol) and lifestyle changes (sleeping in an elevated position, cessation of smoking) can help lessen the symptoms of acid reflux related to the hernia. Laproscopic surgical repair may be performed in cases of large sliding hernias, paraesophageal type hernias, or if there are signs of acid reflux.
Diagnosis: Hiatal hernia.
This case is a classic example of the hiatal hernia seen on chest x-ray. A hiatal hernia is a herniation of the stomach through the esophageal hiatus of the diaphragm, usually involving the fundus of the stomach. There are 2 main types of hiatus hernia which are differentiated on the location of the gastroesophageal junction :
a. sliding - most common type, junction displaced upwards into mediastinum (ie behind the heart shadow), often small and reducible
b. paraesophageal/rolling - least common, junction lies normally below the diaphragm, may not reduce
A hiatal hernia may be clinically silent and only discovered incidentally. When symptomatic the signs are usually nonspecific such as dull chest pain, shortness of breath, in some cases heart palpitations, nausea, or signs of acid reflux such as heartburn and belching.
Hiatal hernias are more common with increasing age and in smokers and obese individuals. Potential causes include weakness in the diaphragm, either congenital or trauma related, or persistent intense stress on the adjacent musculature such as produced by severe cough, vomiting, lifting heavy objects, or excessive straining with bowel movements.
Dietary changes (avoiding foods that cause heartburn, avoid alcohol) and lifestyle changes (sleeping in an elevated position, cessation of smoking) can help lessen the symptoms of acid reflux related to the hernia. Laproscopic surgical repair may be performed in cases of large sliding hernias, paraesophageal type hernias, or if there are signs of acid reflux.

