Atlas Radiology Consultants
  • Home
  • About
  • Services
  • Musculoskeletal Ultrasound
  • Contact Us
  • Continuing Education
    • Seminars
  • FAQ
  • Forms
  • Pay Invoice

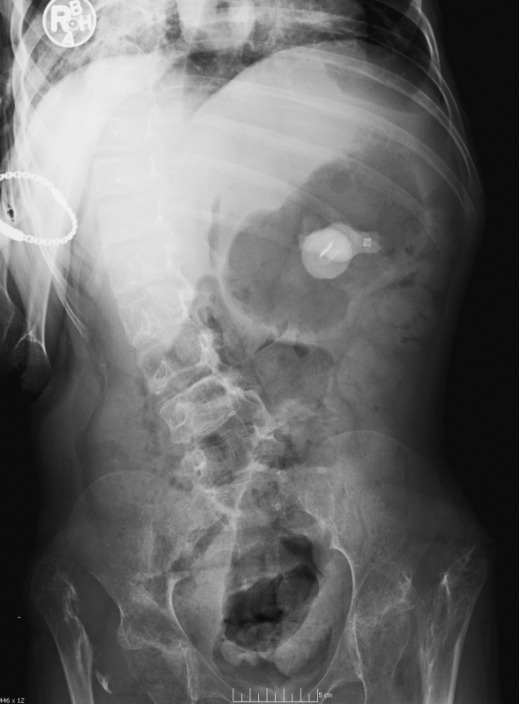
13 year old male.

Picture
1.  What are your key findings?
2.  Do you have a differential diagnosis?


Click here for the case of the month discussion.
  • Home
  • About
  • Services
  • Musculoskeletal Ultrasound
  • Contact Us
  • Continuing Education
    • Seminars
  • FAQ
  • Forms
  • Pay Invoice