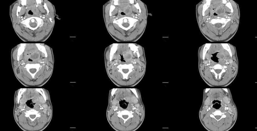
1. What are the primary findings?
There is a focal oval left parapharyngeal lesion which produces marked pharyngeal narrowing by compressing but not invading/eroding into the airway. The lesion demonstrates low attenuation centrally with peripheral enhancement.
2. List your differential diagnosis.
The appropriate treatment would depend on the correct diagnosis. In this instance the patient had associated febrile illness which suggested a diagnosis of a left palatine tonsillar abscess. Also the cystic appearance produced by the pus centrally on the CT scan favour an abscess over most neoplams which would demonstrate more solid density.
Palatine tonsillar abscesses are the most common deep infection of the head and neck in adults aged 20-40 years although it may occur in children particularly when immunocompromised. Fever, throat pain, difficulty swallowing, and trismus/lockjaw, muffled voice, and cervical lymphadenopathy are some common clinical complaints/findings. Physical/visual inspection would demonstrate an enlarged tonsil with contralateral deviation of the uvula and possible exudate.
Needle aspiration is used for diagnostic confirmation diagnosis and the first stage of treatment, in addition to allowing the selection of appropriate antibiotic therapy. In advance cases, drainage via incision or tonsillectomy may be necessary.
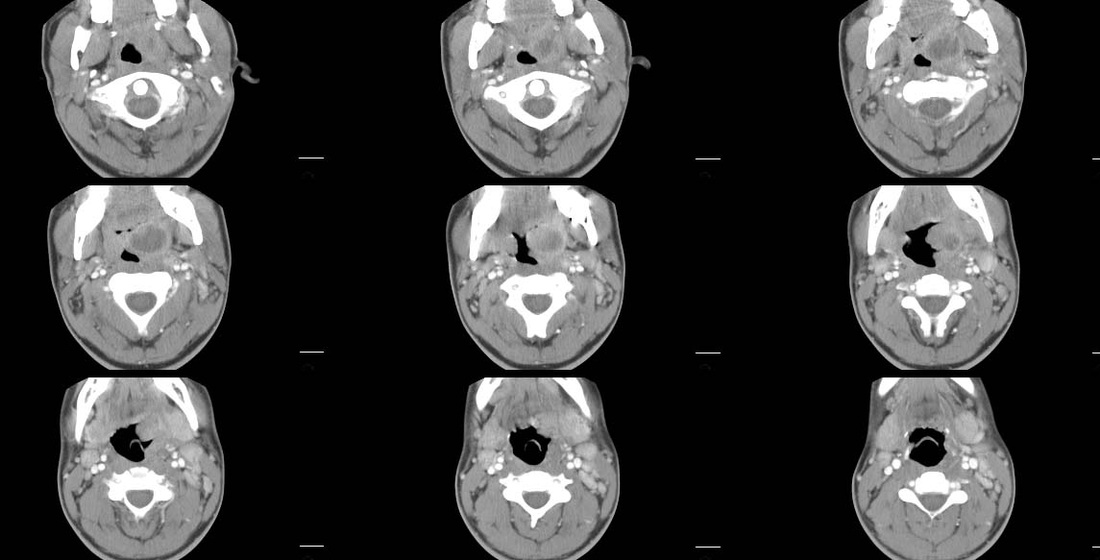
There is a focal oval left parapharyngeal lesion which produces marked pharyngeal narrowing by compressing but not invading/eroding into the airway. The lesion demonstrates low attenuation centrally with peripheral enhancement.
2. List your differential diagnosis.
- abscess of the palatine tonsils or peritonsillar soft tissue
- neoplasm - these would include but are not limited to nasopharyngeal carcinoma, squamous cell carcinoma of the palatine tonsil, Non-Hodgkin's lymphoma, rhabdomyosarcoma
- oropharyngeal retention cyst
- diving ranula
- second branchial cleft cyst
The appropriate treatment would depend on the correct diagnosis. In this instance the patient had associated febrile illness which suggested a diagnosis of a left palatine tonsillar abscess. Also the cystic appearance produced by the pus centrally on the CT scan favour an abscess over most neoplams which would demonstrate more solid density.
Palatine tonsillar abscesses are the most common deep infection of the head and neck in adults aged 20-40 years although it may occur in children particularly when immunocompromised. Fever, throat pain, difficulty swallowing, and trismus/lockjaw, muffled voice, and cervical lymphadenopathy are some common clinical complaints/findings. Physical/visual inspection would demonstrate an enlarged tonsil with contralateral deviation of the uvula and possible exudate.
Needle aspiration is used for diagnostic confirmation diagnosis and the first stage of treatment, in addition to allowing the selection of appropriate antibiotic therapy. In advance cases, drainage via incision or tonsillectomy may be necessary.