1. What is your diagnosis:
a. Normal foot
b. Stress fracture
c. Pes planus
d. Lisfranc dislocation
e. epidural adhesion
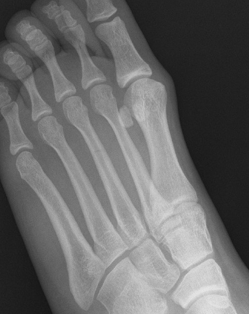
This is a stress fracture of the third metatarsal. To the right is a magnified view where a very subtle linear fracture lucency is clearly seen. The cortices remain intact and there is no evidence of callus.
Stress fractures occur commonly in people as a result of overuse from a sudden increased activity level or people who do a lot of activity with their legs (runners, dancers, jumpers, military marching). A second category of affected patient's includes those with weakened bones such as from osteoporosis or other metabolic or neuropathic conditions such as diabetes. Changes in footwear, training surface, or poor technique can also factor into developing a stress fracture. These are most common in the second and third metatarsals which absorb greater amounts of stress during foot push off.
2. What is the appropriate follow up?
a. rest
b. orthopedic surgical fixation
c. casting
d. ice
e. MRI
The most common symptom is pain with actvity and normal activities of daily life which subsides with rest. Therefor resting the affected foot and refraining from weight bearing and the exacerbating activity, iceing, and elevation of the foot are all indicated to help with pain control and healing of the fracture. In some cases casting or surgical fusion may be performed, but this is more commonly performed for stress fractures at other sites of the foot.
As for MRI follow up, x-rays may initially be indeterminate or negative for fracture which may not be seen until a healing callus is formed. In this case, a MRI or a bone scan may be appropriately ordered to confirm a stress fracture.
Serial x-rays in the same patient as above take one month later show periosteal callus at the fracture site.
a. Normal foot
b. Stress fracture
c. Pes planus
d. Lisfranc dislocation
e. epidural adhesion
This is a stress fracture of the third metatarsal. To the right is a magnified view where a very subtle linear fracture lucency is clearly seen. The cortices remain intact and there is no evidence of callus.
Stress fractures occur commonly in people as a result of overuse from a sudden increased activity level or people who do a lot of activity with their legs (runners, dancers, jumpers, military marching). A second category of affected patient's includes those with weakened bones such as from osteoporosis or other metabolic or neuropathic conditions such as diabetes. Changes in footwear, training surface, or poor technique can also factor into developing a stress fracture. These are most common in the second and third metatarsals which absorb greater amounts of stress during foot push off.
2. What is the appropriate follow up?
a. rest
b. orthopedic surgical fixation
c. casting
d. ice
e. MRI
The most common symptom is pain with actvity and normal activities of daily life which subsides with rest. Therefor resting the affected foot and refraining from weight bearing and the exacerbating activity, iceing, and elevation of the foot are all indicated to help with pain control and healing of the fracture. In some cases casting or surgical fusion may be performed, but this is more commonly performed for stress fractures at other sites of the foot.
As for MRI follow up, x-rays may initially be indeterminate or negative for fracture which may not be seen until a healing callus is formed. In this case, a MRI or a bone scan may be appropriately ordered to confirm a stress fracture.
Serial x-rays in the same patient as above take one month later show periosteal callus at the fracture site.
Once the fracture has healed and pain has subsided the patient can gradually resume activities. Recovery time is approximately 6-8 weeks. Returning to activity too soon may lead to a recurrence of the stress fracture or a complete fracture and possibly additional chronic problems in the future.