DISCUSSION
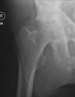
The right hip demonstrates joint space narrowing consistent with osteoarthritis. The key finding is the presence of sclerosis involving the visualized portion of the right innominate. The trabecular pattern also appears coarsened and Kohler's teardrop is opacified. The most common causes of opacification of Kohler's teardrop are blastic metastatic disease and Paget's disease. Also note the pelvic brim sign - thickening of the pelvic brim due to osteoblastic reaction, a helpful clue in distinguishing this condition from metastasis.
Diagnosis: Paget's disease
Paget's disease is most commonly seen in patient's over 40 years of age and typically asymptomatic, therefore it is commonly an incidental finding. The pelvis is the most common site, followed by the spine, skull, and long bones.
Clinical presentations may include increasing hat size, hearing loss, and loss of vision with skull involvement, increasing shoe size with foot involvement, or signs of stenosis with spinal involvement. In addition to rare maligment malignant degeneration, pathologic fractures may also occur. Patients may show up to 20x normal alkaline phosphatase levels and elevated urinary hydroxyproline. This my predispose to ureteral colic. High output cardiac failure is also a rare complication.
There are 4 stages. The first phase is lytic destructive and will demonstrate lucent bony lesions. Phase 2 represents mixed bone destruction and formaion, demonstrating both mixed lytic and sclerotic lesions. Phase 3 is sclerotic/blastic and will show increased bone density with thickened trabecular patterns. Phase 4 is rare malignant degeneration, occuring in under 1-2% of cases and usually degenerating to osteosarcoma (MC) or fibrosarcoma (2nd MC), with the femur the most common bone to show malignant degeneration of Paget's disease.
Common radiographic presentations include osteoporosis circumscripta and cotton wool of the skull, picture frame and ivory vertebra in the spine, the pelvic brim sign, opacified Kohler's teardrop, protrusio acetabuli in the pelvis, and a blade of grass/V shaped/candle flame lytic lesion in long bones.
Treatment includes taking oral biphosphonates and calcitonin, radical resection in cases of sarcomatous involvement. In patients with both metastasis and Paget's disease, metastasis will preferentially involve Pagetic bone.
Diagnosis: Paget's disease
Paget's disease is most commonly seen in patient's over 40 years of age and typically asymptomatic, therefore it is commonly an incidental finding. The pelvis is the most common site, followed by the spine, skull, and long bones.
Clinical presentations may include increasing hat size, hearing loss, and loss of vision with skull involvement, increasing shoe size with foot involvement, or signs of stenosis with spinal involvement. In addition to rare maligment malignant degeneration, pathologic fractures may also occur. Patients may show up to 20x normal alkaline phosphatase levels and elevated urinary hydroxyproline. This my predispose to ureteral colic. High output cardiac failure is also a rare complication.
There are 4 stages. The first phase is lytic destructive and will demonstrate lucent bony lesions. Phase 2 represents mixed bone destruction and formaion, demonstrating both mixed lytic and sclerotic lesions. Phase 3 is sclerotic/blastic and will show increased bone density with thickened trabecular patterns. Phase 4 is rare malignant degeneration, occuring in under 1-2% of cases and usually degenerating to osteosarcoma (MC) or fibrosarcoma (2nd MC), with the femur the most common bone to show malignant degeneration of Paget's disease.
Common radiographic presentations include osteoporosis circumscripta and cotton wool of the skull, picture frame and ivory vertebra in the spine, the pelvic brim sign, opacified Kohler's teardrop, protrusio acetabuli in the pelvis, and a blade of grass/V shaped/candle flame lytic lesion in long bones.
Treatment includes taking oral biphosphonates and calcitonin, radical resection in cases of sarcomatous involvement. In patients with both metastasis and Paget's disease, metastasis will preferentially involve Pagetic bone.

