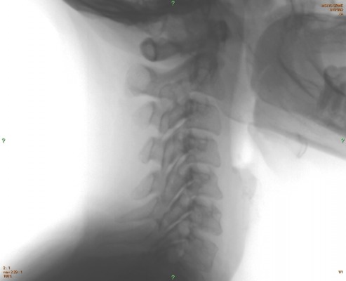
They key finding is best appreciated on the lateral view which shows circular radiolucent lesions within the posterior elements at multiple vertebral levels. There is also an expansile lesion at the posterior elements at C2-3. A solitary vertebral body lesion is appreciated at the anterior superior corner of the C6 vertebral body. The most likely differential considerations considering the patient age include metastatic disease and multiple myeloma. There are other conditions which may produce multiple lytic lesions of multiple bones. Cystic angiomatosis or hemangiomatosis and lymphangiomatosis are both RARE conditions characterized by disorder of hemangiomas and the lymphatic system respectively producing cystic bony lesions in multiple locations. Patients with both of these conditions are usually diagnosed at a younger age due to associated visceral lesions. Other conditions which may present with multiple lytic skeletal lesions include polyostotic fibrous dysplasia and Paget's disease, unlikely in this case due to the appearance of the lesions, eosinophlic gramuloma, unlikely due to the patient's age.
Diagnosis - Multiple Myeloma
The most common primary bone tumor. The most common presenting complaint is back pain which can be progressive and disabling and worsened with activity. The second MC complaint is easy fatiguability which is due to severe associated anemia. Additional clinical complaints include fever, weight loss, frequent infections, and pathologic fractures. In about 50% of patient's a compression fracture is present on presentation. The location of compression fractures overlaps with the location of fractures in post menopausal osteoporosis, ie. the T6 to L4 region. Peak incidence is 40-80 years of age. Primary involvment is the axial skeleton (spine, ribs, skull, and pelvis in descending order of commonality), but can involve the appendicular skeleton.
Key laboratory findings of myleoma include elevated serum globulin fractions, especially IgG, anemia, hypercalcemia, Bence-Jones proteinuria.
Key radiographic presentations include diffuse osteopenia, multiple relatively uniform lytic "punched out lesions", vertebral compression fractures, soap bubbly expansile lesions (such as a plasmacytoma which may represent an early stage of myleoma), sclerotic lesions (rare, only 1-2% of cases). In the presence of compression fractures MR is recommended to asses for cord compression and extremedullary extension of tumor. Bone scans are generally insensitive to myeloma as up to 1/3 of lesions may frequently appear "cold".
The presence of a single osseous lesion warrants careful evaluation for additional lesions as median survival decreases with increasing numbers of bony lesions. MRI or, where available, whole body FDG PET scans are useful for assessing extent of disease at time of initial diagnosis, resulting in more accurate disease staging, and for evaluating response to therapy.
Treatment options include chemotherapy for disseminated disease, radiation to control local disease, vertebroplasty for compression fractures, and internal fixation to correct pathologic fractures in the pelvis or extremities.
Here are magnified and negative views of the lateral cervical which may make it easier to see some of the lesions.
Diagnosis - Multiple Myeloma
The most common primary bone tumor. The most common presenting complaint is back pain which can be progressive and disabling and worsened with activity. The second MC complaint is easy fatiguability which is due to severe associated anemia. Additional clinical complaints include fever, weight loss, frequent infections, and pathologic fractures. In about 50% of patient's a compression fracture is present on presentation. The location of compression fractures overlaps with the location of fractures in post menopausal osteoporosis, ie. the T6 to L4 region. Peak incidence is 40-80 years of age. Primary involvment is the axial skeleton (spine, ribs, skull, and pelvis in descending order of commonality), but can involve the appendicular skeleton.
Key laboratory findings of myleoma include elevated serum globulin fractions, especially IgG, anemia, hypercalcemia, Bence-Jones proteinuria.
Key radiographic presentations include diffuse osteopenia, multiple relatively uniform lytic "punched out lesions", vertebral compression fractures, soap bubbly expansile lesions (such as a plasmacytoma which may represent an early stage of myleoma), sclerotic lesions (rare, only 1-2% of cases). In the presence of compression fractures MR is recommended to asses for cord compression and extremedullary extension of tumor. Bone scans are generally insensitive to myeloma as up to 1/3 of lesions may frequently appear "cold".
The presence of a single osseous lesion warrants careful evaluation for additional lesions as median survival decreases with increasing numbers of bony lesions. MRI or, where available, whole body FDG PET scans are useful for assessing extent of disease at time of initial diagnosis, resulting in more accurate disease staging, and for evaluating response to therapy.
Treatment options include chemotherapy for disseminated disease, radiation to control local disease, vertebroplasty for compression fractures, and internal fixation to correct pathologic fractures in the pelvis or extremities.
Here are magnified and negative views of the lateral cervical which may make it easier to see some of the lesions.



