1. What is the differential diagnosis?
Simple bone cyst
Fibrous dysplasia
Aneurysmal bone cyst
Enchodroma
Eosinophilic granuloma
Brodies abscess
Brown tumor of hyperparathyroidism
2. What is the diagnosis?
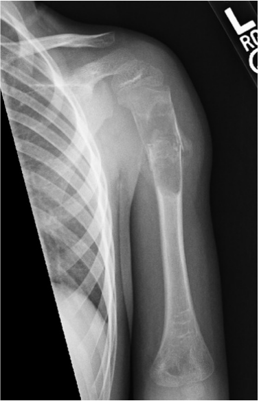
The diagnosis is a pathologic fracture through a simple bone cyst.
3. What is the treatment plan?
Treatment initially involves standard protocols for fracture care, which may include splinting or casting. In about 25% of cases where a fracture has occured the simple cyst may heal spontaneously.
Discussion:
Simple bone cysts, aka unicameral bone cysts, are a fluid-filled cavity within the bone and are most commonly found in the immature skeleton. The etiology is unknown, although it has been speculated they arise from growth disturbance to synovial tissue around a joint or venous congestion. They are benign and usually painless, although they can weaken the bone which predisposes to fracture. SBC's are most commonly found in long tubular bones however others like the talus, calcaneus, and ilium have been described. X-ray findings are a characteristic well defined, mildly expansile lesion with a sclerotic margin, intact cortex, and no soft tissue mass. There is no periosteal reaction unless a healing fracture is present. If radiographs are equivocal then MRI may be performed for confirmation.
Incidentally found lesions are usually left to observation with modification of activities to reduce the risk to fracture. Cysts commonly can enlarge during times of bone growth and heal as the patient reaches skeletal maturity. As stated above, approximately 25% of cysts will spontaneously heal if a pathologic fracture has occurred. Aspiration and injection of corticosteroid into the cyst or curettage with bone graft are surgical options in cases of high risk of fracture. The cyst, however, recurs in 25-50% of patients regardless of the treatment.
Same patient several weeks later showing callus from fracture healing:
Simple bone cyst
Fibrous dysplasia
Aneurysmal bone cyst
Enchodroma
Eosinophilic granuloma
Brodies abscess
Brown tumor of hyperparathyroidism
2. What is the diagnosis?
The diagnosis is a pathologic fracture through a simple bone cyst.
3. What is the treatment plan?
Treatment initially involves standard protocols for fracture care, which may include splinting or casting. In about 25% of cases where a fracture has occured the simple cyst may heal spontaneously.
Discussion:
Simple bone cysts, aka unicameral bone cysts, are a fluid-filled cavity within the bone and are most commonly found in the immature skeleton. The etiology is unknown, although it has been speculated they arise from growth disturbance to synovial tissue around a joint or venous congestion. They are benign and usually painless, although they can weaken the bone which predisposes to fracture. SBC's are most commonly found in long tubular bones however others like the talus, calcaneus, and ilium have been described. X-ray findings are a characteristic well defined, mildly expansile lesion with a sclerotic margin, intact cortex, and no soft tissue mass. There is no periosteal reaction unless a healing fracture is present. If radiographs are equivocal then MRI may be performed for confirmation.
Incidentally found lesions are usually left to observation with modification of activities to reduce the risk to fracture. Cysts commonly can enlarge during times of bone growth and heal as the patient reaches skeletal maturity. As stated above, approximately 25% of cysts will spontaneously heal if a pathologic fracture has occurred. Aspiration and injection of corticosteroid into the cyst or curettage with bone graft are surgical options in cases of high risk of fracture. The cyst, however, recurs in 25-50% of patients regardless of the treatment.
Same patient several weeks later showing callus from fracture healing: