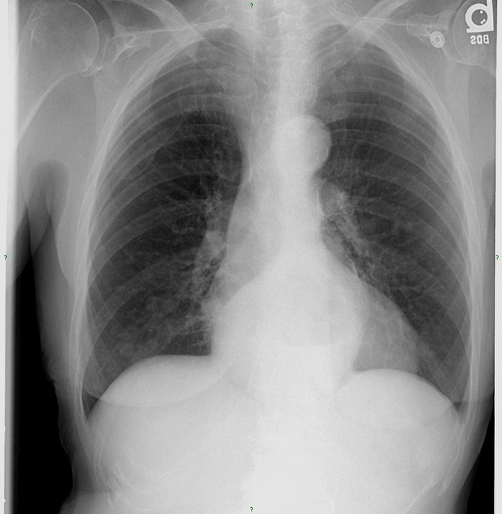
1. Describe the main finding.
2. Do you have a diagnosis or a differential diagnosis?
3. What additional view would you like to see to help narrow your differential list or to make the diagnosis?
Click here for the June Case of the Month discussion.
2. Do you have a diagnosis or a differential diagnosis?
3. What additional view would you like to see to help narrow your differential list or to make the diagnosis?
Click here for the June Case of the Month discussion.
