Atlas Radiology Consultants
  • Home
  • About
  • Services
  • Musculoskeletal Ultrasound
  • Contact Us
  • Continuing Education
    • Seminars
  • FAQ
  • Forms
  • Pay Invoice

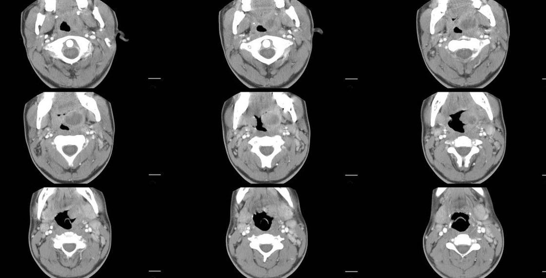
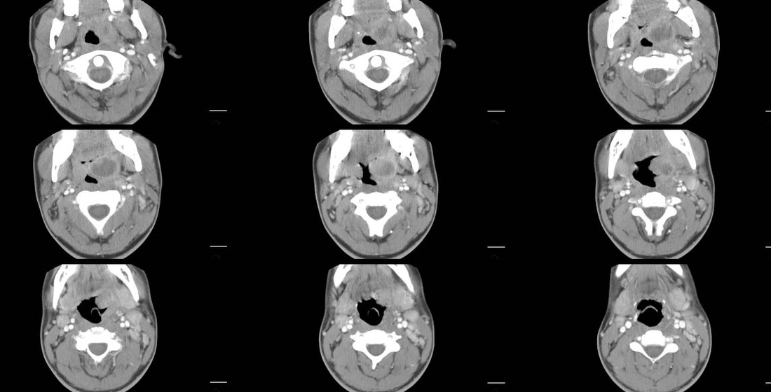
17 year old male. ​

Picture
Axial head CT with contrast
1.  What are the primary findings?

2.  List your differential diagnosis. 

3.  What is the appropriate treatment?


Click here for the March 2015 Case Study Discussion
  • Home
  • About
  • Services
  • Musculoskeletal Ultrasound
  • Contact Us
  • Continuing Education
    • Seminars
  • FAQ
  • Forms
  • Pay Invoice