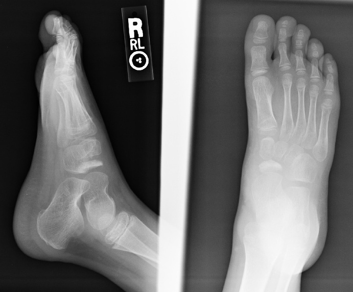
1. Describe the main finding.
2. Do you have a diagnosis? a differential diagnosis?
3. What is the etiology of the pertinent finding?
Click Here to be Redirected to the Case of the Month Discussion.
2. Do you have a diagnosis? a differential diagnosis?
3. What is the etiology of the pertinent finding?
Click Here to be Redirected to the Case of the Month Discussion.
