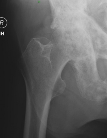
1. What are the main findings?
2. What are the differential considerations for the key finding?
3. What disorders most commonly produce a sclerotic Kohler's teardrop sign?
Click here for Case of the Month Discussion
2. What are the differential considerations for the key finding?
3. What disorders most commonly produce a sclerotic Kohler's teardrop sign?
Click here for Case of the Month Discussion

