Atlas Radiology Consultants
  • Home
  • About
  • Services
  • Musculoskeletal Ultrasound
  • Contact Us
  • Continuing Education
    • Seminars
  • FAQ
  • Forms
  • Pay Invoice

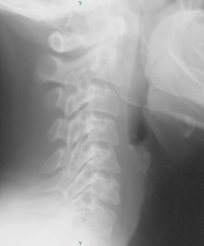
51 year old female presenting with neck pain and stiffness.  No history of trauma related by the patient. ​

Picture
Picture

1.  What are your key findings?
2.  What is your differential diagnosis?
3.  What is the appropriate follow up for this patient?


Click here for the case of the month discussion.
  • Home
  • About
  • Services
  • Musculoskeletal Ultrasound
  • Contact Us
  • Continuing Education
    • Seminars
  • FAQ
  • Forms
  • Pay Invoice