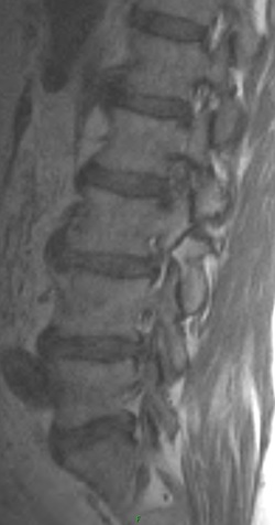
1. Aside from disc changes and spondylosis, what additional finding is present.
2. What are the types of spondylolisthesis? Pertaining to the anterolisthesis, which type does the patient have?
3. What is the appropriate way to asses stability?
4. What are treatment options for spondylolisthesis?
Click here for the case of the month discussion.
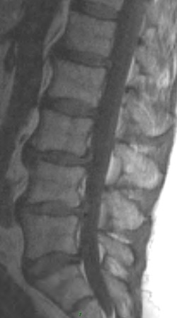
2. What are the types of spondylolisthesis? Pertaining to the anterolisthesis, which type does the patient have?
3. What is the appropriate way to asses stability?
4. What are treatment options for spondylolisthesis?
Click here for the case of the month discussion.



