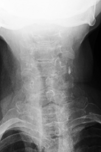
1. What is the key finding?
2. What is the etiology of the main finding - trauma, congenital, other?
Click here for case of the month discussion.
2. What is the etiology of the main finding - trauma, congenital, other?
Click here for case of the month discussion.


